| Name | Last modified | Size | Description | |
|---|---|---|---|---|
| Parent Directory | - | |||
| p288_세계 인구 증가 곡선.jpg | 2017-03-14 19:08 | 271K | ||
| p289_갈아 놓은 논(봄).jpg | 2017-03-14 19:08 | 403K | ||
| p289_추수가 끝난 논(겨울).jpg | 2017-03-14 19:08 | 491K | ||
| p290_질소 고정.jpg | 2017-03-14 19:08 | 153K | ||
| p290_콩의 뿌리와 뿌리혹.jpg | 2017-03-14 19:08 | 289K | ||
| p291_적조를 줄이기 위한 황토 살포.jpg | 2017-03-14 19:08 | 112K | ||
| p292_과거와 현대의 농업 방식.jpg | 2017-03-14 19:08 | 309K | ||
| p292_관개 시설(저수지).jpg | 2017-03-14 19:08 | 359K | ||
| p293_밀의 육종 과정.jpg | 2017-03-14 19:08 | 167K | ||
| p296_유전자 재조합 식물이 만들어지는 과정.jpg | 2017-03-14 19:08 | 167K | ||
| p297_보통 연어보다 크기가 큰 연어.jpg | 2017-03-14 19:08 | 269K | ||
| p297_유전자 재조합 작물(당도가 높은 옥수수).jpg | 2017-03-14 19:08 | 176K | ||
| p297_유전자 재조합 작물(잘 무르지 않는 토마토).jpg | 2017-03-14 19:08 | 483K | ||
| p297_유전자 재조합 작물(해충에 저항성이 있는 목화).jpg | 2017-03-14 19:08 | 413K | ||
| p297_제주 흑우.jpg | 2017-03-14 19:08 | 341K | ||
| p298_국립 농어 유전자원 센터.jpg | 2017-03-14 19:08 | 334K | ||
| p301_가공식품에 포함된 식품 첨가물.jpg | 2017-03-14 19:08 | 184K | ||
| p302_원산지와 유통 기한 등을 표기한 식품.jpg | 2017-03-14 19:08 | 157K | ||
| p306_비브리오콜레라.jpg | 2017-03-14 19:08 | 227K | ||
| p307_식품 구성 탑.jpg | 2017-03-14 19:08 | 95K | ||
| p308_하루 생활 시간표.jpg | 2017-03-14 19:08 | 119K | ||
| p309_에너지의 전환과 이용.jpg | 2017-03-14 19:08 | 183K | ||
| p309_ATP의 구조.jpg | 2017-03-14 19:08 | 113K | ||
| p311_여러 가지 보존 식품.jpg | 2017-03-14 19:08 | 195K | ||
| p312_덜 익은 육류를 통해 감연된 선모충.jpg | 2017-03-14 19:08 | 653K | ||
| p312_식중독을 유발하는 살모넬라균.jpg | 2017-03-14 19:08 | 591K | ||
| p313_감염성 질병인 수두.jpg | 2017-03-14 19:08 | 412K | ||
| p313_비감염성 질병인 피부암.jpg | 2017-03-14 19:08 | 421K | ||
| p314_대장균.jpg | 2017-03-14 19:08 | 647K | ||
| p314_세균의 구조.jpg | 2017-03-14 19:08 | 147K | ||
| p314_페스트균.jpg | 2017-03-14 19:08 | 293K | ||
| p314_페스트의 창궐을 표현한 죽음의 승리.jpg | 2017-03-14 19:08 | 571K | ||
| p314_포도알균.jpg | 2017-03-14 19:08 | 432K | ||
| p315_바이러스의 구조.jpg | 2017-03-14 19:08 | 208K | ||
| p315_신종 플루 바이러스와 손 소독기.jpg | 2017-03-14 19:08 | 188K | ||
| p315_아데노바이러스.jpg | 2017-03-14 19:08 | 551K | ||
| p315_코로나바이러스.jpg | 2017-03-14 19:08 | 564K | ||
| p316_백혈구의 식균 작용.jpg | 2017-03-14 19:08 | 418K | ||
| p316_염증 반응.jpg | 2017-03-14 19:08 | 104K | ||
| p316_특이적 면역.jpg | 2017-03-14 19:08 | 166K | ||
| p317_항체 생성 곡선.jpg | 2017-03-14 19:08 | 145K | ||
| p318_꽃가루와 먼지.jpg | 2017-03-14 19:08 | 312K | ||
| p318_류머티스 관절염.jpg | 2017-03-14 19:08 | 226K | ||
| p318_소아 권장 예방 접종 목록.jpg | 2017-03-14 19:08 | 153K | ||
| p318_집먼지진드기.jpg | 2017-03-14 19:08 | 337K | ||
| p319_에이즈 예방 홍보 마크.jpg | 2017-03-14 19:08 | 169K | ||
| p319_HIV.jpg | 2017-03-14 19:08 | 424K | ||
| p320_정수 과정.jpg | 2017-03-14 19:08 | 199K | ||
| p321_화성 표면의 물 흔적.jpg | 2017-03-14 19:08 | 242K | ||
| p322_우리 주변의 병원성 미생물.jpg | 2017-03-14 19:08 | 232K | ||
| p323_비누의 원리.jpg | 2017-03-14 19:08 | 173K | ||
| p324_물 분자의 수소 결합.jpg | 2017-03-14 19:08 | 73K | ||
| p327_현대식 청진기.jpg | 2017-03-14 19:08 | 117K | ||
| p329_대장암 내시경 사진.jpg | 2017-03-14 19:08 | 396K | ||
| p329_식도 정맥류 내시경 사진.jpg | 2017-03-14 19:08 | 385K | ||
| p329_위궤양 내시경 사진.jpg | 2017-03-14 19:08 | 303K | ||
| p329_혈압 측정 원리.jpg | 2017-03-14 19:08 | 170K | ||
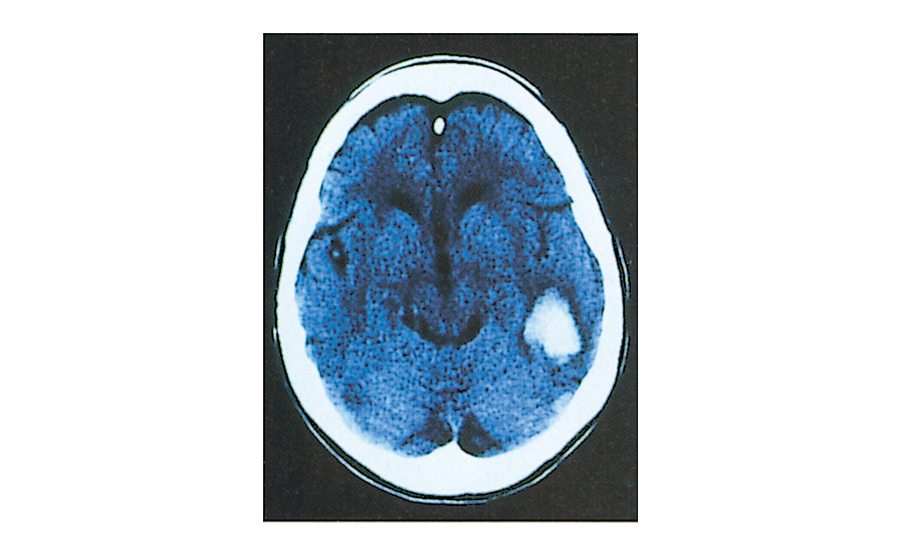
| p330_뇌 CT 영상.jpg | 2017-03-14 19:08 | 237K | ||
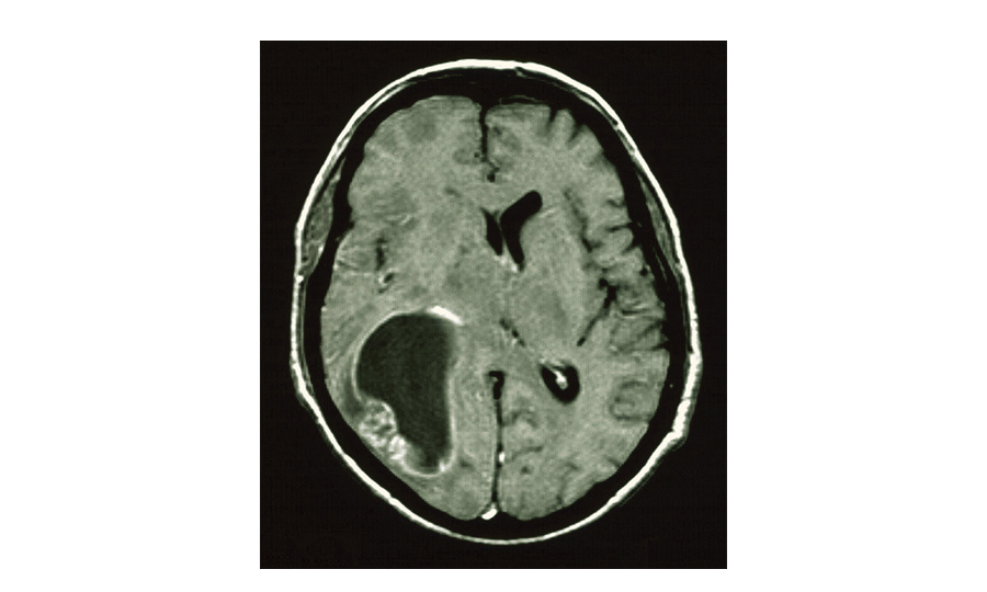
| p330_뇌 MRI 영상.jpg | 2017-03-14 19:08 | 159K | ||
| p330_다리 골절 X선 사진.jpg | 2017-03-14 19:08 | 282K | ||
| p330_자궁 내 태아의 초음파 영상.jpg | 2017-03-14 19:08 | 337K | ||
| p330_CT 촬영기.jpg | 2017-03-14 19:08 | 366K | ||
| p330_MRI 장치.jpg | 2017-03-14 19:08 | 350K | ||
| p331_심전도 그래프.jpg | 2017-03-14 19:08 | 101K | ||
| p331_요 검사지.jpg | 2017-03-14 19:08 | 228K | ||
| p332_유전자 칩의 구조 및 칩 조작기.jpg | 2017-03-14 19:08 | 178K | ||
| p332_조직 검사 과정.jpg | 2017-03-14 19:08 | 213K | ||
| p333_건강 검진 기록지.jpg | 2017-03-14 19:08 | 144K | ||
| p335_페니실린의 작용.jpg | 2017-03-14 19:08 | 520K | ||
| p336_건강에 유익한 식물과 해당 약효 성분.jpg | 2017-03-14 19:08 | 278K | ||
| p338_줄기 세포의 이용.jpg | 2017-03-14 19:08 | 136K | ||
| p339_유전자 치료.jpg | 2017-03-14 19:08 | 163K | ||
| p340_대장암 내시경 사진.jpg | 2017-03-14 19:08 | 285K | ||
| p340_암 사망률 추이.jpg | 2017-03-14 19:08 | 102K | ||
| p340_유방암 X선 사진.jpg | 2017-03-14 19:08 | 240K | ||
| p341_암의 발생과 전이.jpg | 2017-03-14 19:08 | 224K | ||
| p341_정상 세포와 암세포의 세포 분열.jpg | 2017-03-14 19:08 | 107K | ||
| p342_여러 가지 발암 물질.jpg | 2017-03-14 19:08 | 274K | ||
| p343_암을 치료하는 여러 가지 방법.jpg | 2017-03-14 19:08 | 177K | ||